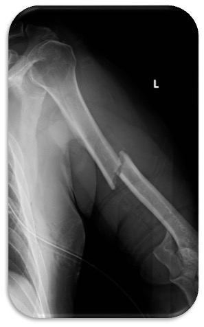
Fracture Treatment

A fracture of the elbow bone, especially if accompanied by a dislocation, is a serious injury, as it requires treatment of both the fracture and possible damage to the ligaments and soft tissues. Elbow fractures can affect all three bones of the joint (radius, ulna, humerus) and are usually caused by severe traumatic stress. The patient usually presents with severe pain, swelling and restriction of movement, which lead to a visit to an Orthopaedic Surgeon. The diagnosis is confirmed by X-rays or other scans to accurately assess the lesion.

Types of elbow fractures:

  • Transcondylar and supracondylar fractures.
  • Fractures of the medial or lateral epicondyle.
  • Fractures of the orbit, the head of the radius and the olecranon.

Treatment:

  • Apregnant fractures: Treated with splinting, rest and physiotherapy.
  • Parectomized fractures: They require surgery to restore and stabilize the bone.
  • Crushing fractures: Osteosynthesis with plates and screws or, in severe cases, replacement of the damaged parts.

Dr. Sahinis prefers the arthroscopic approach for simple fractures with two fragments, offering faster recovery and less pain. For more complex fractures, he applies open osteosynthesis or arthroplasty, focusing on anatomic reduction and internal fixation. Immediate elbow mobilization is essential to avoid postoperative stiffness.

Orthopaedics – Surgeries – Treatment

Elbow Condition Treatment

ΟΡΘΟΠΑΙΔΙΚΕΣ ΠΑΘΗΣΕΙΣ & ΑΝΤΙΜΕΤΩΠΙΣΗ - ΟΡΘΟΠΑΙΔΙΚΟΣ ΝΙΚΟΛΑΟΣ ΣΑΧΙΝΗΣ ΘΕΣΣΑΛΟΝΙΚΗ
Treatment of diseases of the shoulder, elbow, knee and other joints.
"Elpis" Clinic, Volos, Greece

Euromedica Clinic "Kyanous Stavros", Thessaloniki, Greece

Attending A' at the General Hospital "Georgios Papanikolaou", Thessaloniki, Greece

en_GBEnglish
Scroll to Top