ορθοπαιδικη - επεμβασεισ - αντιμετωπιση
Αντιμετώπιση Παθήσεων Ώμου
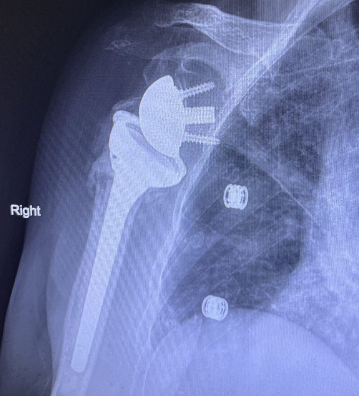
Αρθροπλαστική ώμου
Η άρθρωση του ώμου αποτελείται από τη σύνδεση της κεφαλής του βραχιονίου με την ωμογλήνη της ωμοπλάτης. Όταν η άρθρωση υποστεί σοβαρή βλάβη και οι συντηρητικές θεραπείες ή η αρθροσκόπηση δεν έχουν αποτέλεσμα, η αρθροπλαστική ώμου προτείνεται για την ανακούφιση από τον πόνο και την αποκατάσταση της λειτουργικότητας του χεριού.
Η επέμβαση εφαρμόζεται κυρίως για σοβαρές περιπτώσεις, όπως η οστεοαρθρίτιδα, η ρήξη του στροφικού πετάλου, η άσηπτη νέκρωση κεφαλής βραχιονίου και μαζικές ρήξεις τένοντα. Το 80% των περιπτώσεων αφορά ανάστροφη αρθροπλαστική, ενώ το υπόλοιπο 20% ανατομική αρθροπλαστική.
Η ανατομική αρθροπλαστική προτείνεται όταν η οστική δομή είναι καλή και το τενόντιο πέταλο ανέπαφο. Αντικαθίστανται η κεφαλή του βραχιονίου και η υποδοχή, συνήθως με μεταλλικά και πλαστικά εμφυτεύματα. Αντίθετα, η ανάστροφη αρθροπλαστική είναι ιδανική για εκτεταμένες βλάβες τένοντα ή σοβαρή φθορά της άρθρωσης, αντιστρέφοντας τις αναλογίες της άρθρωσης.
Η επέμβαση πραγματοποιείται μέσω μικρής τομής 10 εκατοστών, χωρίς τραυματισμό μυών, και διαρκεί περίπου μία ώρα. Ο ασθενής ξεκινά κίνηση του χεριού λίγες ώρες μετά το χειρουργείο, ενώ μετά από 20 ημέρες εισέρχεται σε πρόγραμμα φυσικοθεραπείας.
Η ανάστροφη αρθροπλαστική θεωρείται αξιόπιστη και αποτελεσματική, με τη μετεγχειρητική αποκατάσταση να διαρκεί περίπου 6 εβδομάδες, περιλαμβάνοντας φυσιοθεραπεία και χρήση ανάρτησης για τις πρώτες δύο εβδομάδες.
